TOPCON 3D OCT 2000
Investigatii oftalmologice Targoviste
Pentru stabilirea corecta a diagnosticului si pentru stabilirea tratamentului corect, medicul poate avea nevoie uneori sa completeze consultatia oftalmologica cu anumite investigatii paraclinice.
- Tomografia retiniana
- Ecografia oculo-orbitara
- Pahimetria corneana
- Topografie corneana
- Campul vizual
Acuratete & precizie
Sa vedem ceea ce nu este la suprafata este esential pentru sanatatea ochilor tai. Exista afectiuni oculare in care in stadiile initiale consultul oftalmologic poate sa nu evidentieze toate modificarile, precum retinopatia diabetica, degenerescenta maculara legata de varsta, glaucomul sau membrane preretiniene, gauri maculare.
Screening cu tomografie oculara
Screeningul cu tomografie oculara (efectuarea tomografiei oculare chiar daca totul pare normal) diagnosticheaza boli cu potential de orbire, care va pot afecta calitatea vietii. Tomografia oculara este o investigatie care nu foloseste radiatii ionizante, fiind sigura si repetabila oricand este nevoie.
Afectiuni care necesita OCT
Efectuam tomografii in coerenta optica pentru diagnosticul si urmarirea: Glaucomului, Afectiunilor retiniene: degenerescenta maculara legata de varsta, retinopatie diabetica, afectiuni maculare congenitale sau dobandite, afectiuni vasculare retiniene; Afectiuni corneene.
Ofera un diagnostic de certitudine
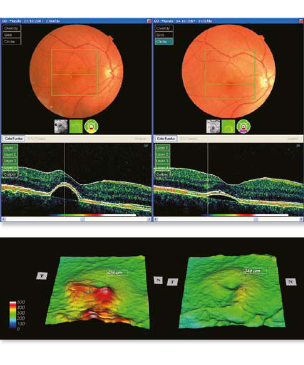
Tomografia retiniana arata in detaliu straturile retinei centrale si astfel sunt vizibile si cele mai fine modificari. Ea ne ajuta sa stabilim un diagnostic de certitudine si, acolo unde este cazul, sa urmarim evolutia bolii sau raspunsul la tratament.
OCT cu aparatura de ultima generatie
Acum aveti posibilitatea efectuarii de tomografii retiniene (OCT) cu aparatura de ultima generatie, TOPCON 3D OCT 2000, pentru diagnosticul si urmarirea diverselor afectiuni retiniene.
Programari OCT Targoviste
Pentru a face o programare sunati la receptia clinicii, la unul din numerele: 0245 614 624 sau 0725 216 409.
ECOGRAFIA OCULO-ORBITARA
Utila in situatiile in care mediile oculare nu sunt transparente, pentru clarificarea diagnosticului. Non-invaziva, fara durere, repetabila, ecografia este o investigatie care dureaza putin. Centrul Oftalmologic Optic Art dispune de singurul ecograf ocular din judet, iar ecografia are un pret foarte accesibil (60 lei/ochi).
PAHIMETRIA CORNEANA
Reprezinta masurarea grosimii corneene, informatie extrem de utila pentru pacientii cu glaucom, suspiciune de glaucom sau anumite afectiuni ale corneei.
TOPOGRAFIE CORNEANA
Reprezinta o "harta" a suprafetei corneene, utila pentru diagnosticarea sau confirmarea unor boli ale corneei (cum este, de exemplu, keratoconusul).
CAMPUL VIZUAL
Cu ajutorul acestei investigatii exploram cum vede pacientul si putem evidentia anumite deficite caracteristici pentru anumite tipuri de boli oculare. Extrem de util in glaucom, pentru monitorizarea progresiei, campul vizual este utilizat si in afectiuni neurooftalmologice.

